Case 4, Feldspathic Porcelain Veneers 7,10

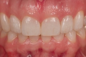
Dental Lab, Porcelain VeneersThis patient had peg laterals and wanted a natural look.

Dental Lab, Porcelain VeneersShoji mimicked her natural tooth character for veneers on 7 and 10

Dental Lab, Porcelain VeneersExcellent soft tissue response about the restoration

Dental Lab, Porcelain Veneers