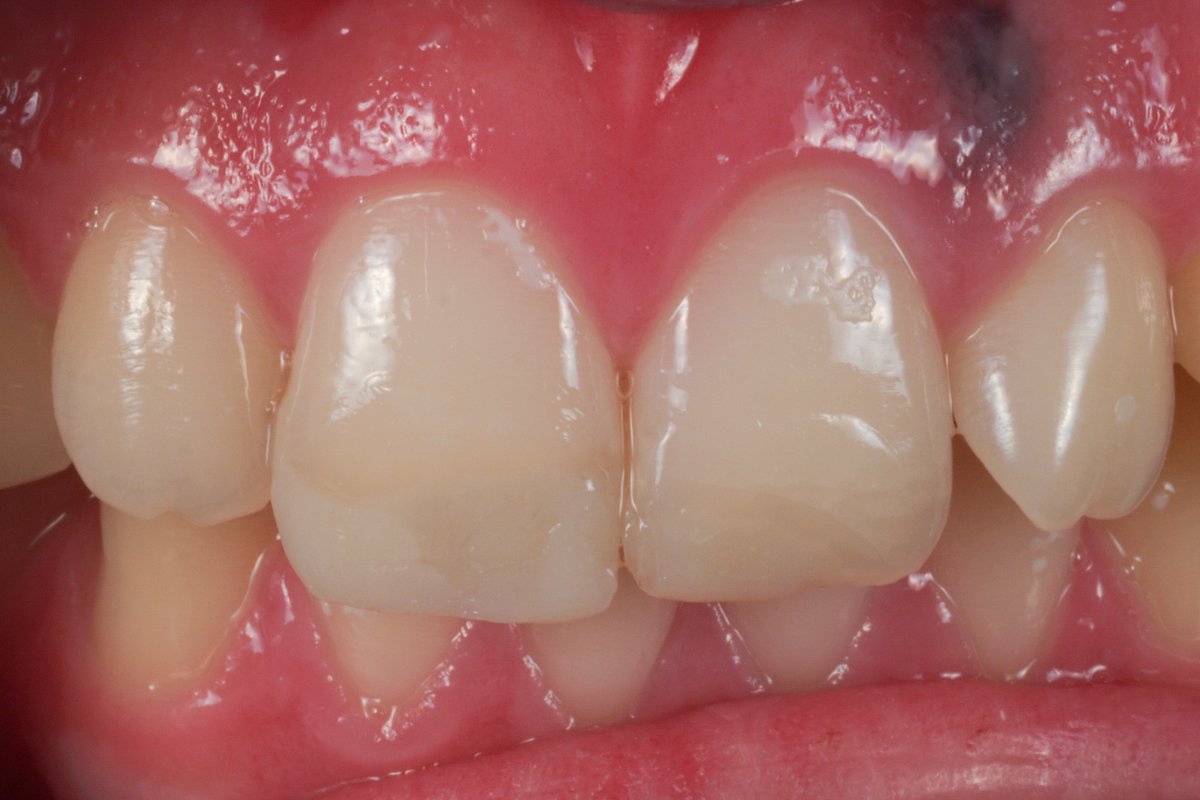
Shoji fabricated porcelain veneers for 8 and 9 of feldspathic porcelain on a refractory die. We also do the platinum foil technique depending on the type of case. This photo shows the beauty of feldspathic porcelain over porcelains that are compatible with e.Max and zirconia. However, there are reasons to use those systems depending on the case type.