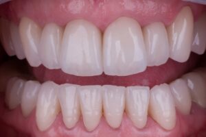
This patient desired to refresh her very old and tired porcelain fused to metal crowns. The most significant thing in this photo series is the use of the prep guide intra-operatively.
This putty matrix is fabricated from the diagnostic wax-up. The putty matrix can be cut back at various regions: cervical, body, incisal, so that the
doctor can verify the appropriate amount of reduction at every area. This helps to ensure adequate thickness for the restorative materials. This becomes especially critical in cases where we are trying to mask a discolored stump.

